
Istationについてお話します!🌟

「 Istation 」ってなに❔
~日本初の新しい矯正技術で、難しい歯並びもきれいに~
矯正治療に興味があるけれど、
「私の歯並びは複雑だからできるのかな?」
「長い治療期間に耐えられるかな?」
そんな不安をお持ちの方も多いのではないでしょうか❔
矯正治療と聞くと、歯の表面に装置を付けてワイヤーで動かすイメージを持たれる方が多いと思います...私も当院で就職するまではそうでした💦
ところが、従来の装置だけでは「奥歯を後ろに動かす」「歯を立体的にコントロールする」といった動きには限界がありました。
しかし近年、日本で開発された「Istation(アイステーション)」という新しい矯正装置が、世界中の矯正治療に広がっています。
この装置は、これまで矯正が難しかった症例にも対応でき、治療の効率をぐっと高めてくれる頼もしい技術です✨

Istationとは?
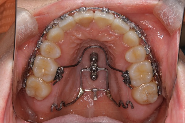
アイステーションは、上あごの真ん中(口蓋)に小さなスクリューを埋め込む矯正装置です。
このスクリューを支点にして、歯を引っ張ったり押したりすることで、ワイヤーだけでは難しかった立体的な歯の移動可能にします。
・2本のスクリュー
・専用のアーム
を組み合わせることで、歯を前後・左右・上下のあらゆる方向にコントロールできます❕
日本初の技術が世界へ
このアイステーションは、神宮前矯正歯科の斉宮康寛先生が開発された日本初の技術です。
現在では、海外の矯正歯科でも広く導入され、世界的に注目されています。
「矯正は海外からの技術が多い」と思われがちですが、実は日本の技術力が世界をリードしている分野でもあるんです✨
アイステーションでできること
①複雑な歯並びに対応
従来の矯正では難しかった「歯の三次元的な動き」が可能になりました。例えば、奥歯を後ろに動かす、歯の角度を細かく調整するといったことが得意な装置です。
②治療期間の短縮
効率よく歯を動かしていくことができるため、治療がスムーズに進みます。
「早く終わらせたい!」という方にとって、大きなメリットになります。
③抜歯を避けられる可能性
従来なら「スペースを作るために抜歯が必要」と言われてたケースでも、アイステーションを使用することで非抜歯での矯正が可能になる場合があります。

アイステーションって痛いの?
「上あごにネジを入れる」と聞くと、ちょっと怖く感じるかもしれません...💦
でも実際は、小さなスクリューを局所麻酔で埋め込むだけなので大きな手術ではありません。
・術後の痛みや腫れは少なめ
・そのまま普段通りの生活ができる
💬スタッフモリの感想💬
実際にスクリューを入れる時は麻酔のちくっとした痛みはあったものの入れる時の痛みはありませんでした!(内心とても不安で怖かったです…(笑))
1週間くらいは違和感、異物感を感じましたが、痛みはなく、安心しました😲
同期スタッフであるヤマモトもアイステーションを入れていますが「活舌は悪くなったけど痛くなかった!!」と言っていました❕

アイステーションが向いているのはこんな方
・歯並びが複雑で治療が難しいと言われた方
・少しでも治療期間を短くしたい方
・抜歯を避けて矯正したい方
アイステーションは「従来の矯正+補助となる装置」という立ち位置なので、ほとんどの矯正治療に組み合わせることが
できます。
まとめ
アイステーションは、
・上あごの真ん中に小さなスクリューを入れる
・歯を三次元的にコントロールすることができる
・複雑な歯並びにも対応でき、治療期間の短縮や非抜歯の可能性を広げる
という、日本初の最新矯正技術です❕
もし「難しい歯並びだから無理かも...」とあきらめていた方も、アイステーションを使用することによって希望がもてるかもしれません。
気になる方は、ぜひ仙台東口矯正歯科にてご相談ください🦷✨