
症例紹介
case

このような症状にお悩みの方は、
お気軽にご相談ください。
歯の間にすき間がある
(空隙歯列:くうげきしれつ)
Case07
4本の先天性欠如歯と、2本の埋伏歯を有し、開窓牽引と空隙閉鎖を行うことで欠損部補綴を行わないで咬合再構成を図った空隙歯列症例
| 主訴 | 出っ歯と前歯の隙間が気になる。奥歯の隙間を閉じて欲しいが、矯正歯科治療後にブリッジ補綴やインプラント補綴などはやりたくない。矯正歯科治療だけで隙間を閉じて歯並びを仕上げてほしい。 | ||
|---|---|---|---|
| 年齢・性別 | 13歳未成年男性 澤村 悠里様 | 治療に用いた主な装置 | マルチブラケット |
| 抜歯部位 | 下顎左右5番 | 治療期間 | 4年 |
| 治療回数 | 69回 | 治療費 | 120万円~140万円 |
| 治療内容 | 4本の先天性欠如歯と2本の埋伏歯を有していたため重度の空隙歯列を呈していました。初診時年齢が13歳であったため、下顎骨の成長が長期に継続することが予測され、2期分離治療による矯正歯科治療を行ないました。 | ||
| この治療に おける リスク ・副作用 |
歯肉退縮 | ||
- 治療前
-
- 治療後
-
空隙歯列(通常)【非抜歯治療】
| 主訴 | すきっ歯 | ||
|---|---|---|---|
| 年齢・性別 | 15歳未成年男性 杉山 大剛 様 | 治療に用いた主な装置 | マウスピース型カスタムメイド矯正歯科装置(インビザライン) |
| 抜歯部位 | なし | 治療期間 | 1年7ヵ月 |
| 治療回数 | 16回 | 治療費 | 110万円~130万円※矯正歯科治療は公的健康保険対象外の自費診療となります。 ※治療費は症状により異なります。 |
| 治療の補足事項 | マウスピース型カスタムメイド矯正歯科装置(インビザライン)での治療となります。 | ||
| 治療内容 | 上下顎歯列に空隙が存在しましたので、マウスピース型カスタムメイド矯正歯科装置(インビザライン)にて矯正治療を行ないました。1日20時間以上装置の使用が必須であること、装置の使用時間が少ない場合には、計画どおりに歯が移動しないリスクがあることを事前説明後に、治療を行ないました。 | ||
| 矯正治療のリスク・副作用について | 歯肉退縮 | ||
- 治療前
-
-
- 治療中
-
-
- 治療後
-
-
空隙歯列(スペースドアーチ)【非抜歯治療】
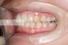
| 主訴 | 歯の間にすきまがある | ||
|---|---|---|---|
| 年齢・性別 | 20歳成人男性 | 治療に用いた主な装置 | マウスピース型カスタムメイド矯正歯科装置(インビザライン) |
| 抜歯部位 | なし | 治療期間 | 11ヵ月 |
| 治療回数 | 11回 | 治療費 | 85万円~105万円※矯正歯科治療は公的健康保険対象外の自費診療となります。 ※治療費は症状により異なります。 |
| 治療の補足事項 | 上下顎歯列に空隙(スペースドアーチ)が存在しました。マウスピース型カスタムメイド矯正歯科装置(インビザライン)を使用して、スペースを閉鎖するとともに、上下歯列の緊密な咬合が確立しました。 | ||
| 治療内容 | 全顎的な空隙歯列を呈していました。マウスピース型カスタムメイド矯正歯科装置(インビザライン)にて治療を行ないました。治療後の後戻りリスクが高い状態だったので、治療後には長期にリテーナーの使用が必要であることをご説明してから治療を行ないました。 | ||
| 矯正治療のリスク・副作用について | 歯肉退縮・後戻り | ||
- 治療前
-
-
- マウスピース型カスタムメイド矯正歯科装置装着時
-
-
- 治療後
-
-
・機能性や審美性を重視するため、公的健康保険対象外の自費診療となり、保険診療よりも高額になります。
・最初は矯正装置による不快感、痛みなどがあります。数日から1~2週間で慣れることが多いです。
・治療期間は症例により異なりますが、成人矯正や永久歯がすべて生えそろっている場合は、一般的に1年半~3年を要します。小児矯正においては、混合歯列期(乳歯と永久歯が混在する時期)に行なう第1期治療で1~2年、永久歯がすべて生えそろったあとに行なう第2期治療で1~2年半を要することがあります。
・歯の動き方には個人差があるため、治療期間が予想より長期化することがあります。
・装置や顎間ゴムの扱い方、定期的な通院など、矯正治療では患者さまのご協力がたいへん重要であり、それらが治療結果や治療期間に影響します。
・治療中は、装置がついているため歯が磨きにくくなります。虫歯や歯周病のリスクが高まるので、丁寧な歯磨きや定期メンテナンスの受診が大切です。また、歯が動くことで見えなかった虫歯が見えるようになることもあります。
・歯を動かすことにより歯根が吸収され、短くなることがあります。また、歯肉が痩せて下がることがあります。
・ごくまれに、歯が骨と癒着していて歯が動かないことがあります。
・ごくまれに、歯を動かすことで神経に障害を与え、神経が壊死することがあります。
・治療中に金属などのアレルギー症状が出ることがあります。
・治療中に、「顎関節で音が鳴る、あごが痛い、口をあけにくい」などの顎関節症状が出ることがあります。
・問題が生じた場合、当初の治療計画を変更することがあります。
・歯の形状の修正や、噛み合わせの微調整を行なうことがあります。
・矯正装置を誤飲する可能性があります。
・装置を外すときに、エナメル質に微小な亀裂が入る可能性や、補綴物(被せ物など)の一部が破損することがあります。
・装置を外したあと、保定装置を指示どおりに使用しないと後戻りが生じる可能性が高くなります。
・装置を外したあと、現在の噛み合わせに合わせて補綴物(被せ物など)の作製や虫歯治療などをやり直す可能性があります。
・あごの成長発育により、歯並びや噛み合わせが変化する可能性があります。
・治療後に親知らずの影響で、歯並びや噛み合わせが変化する可能性があります。
・加齢や歯周病などにより歯を支える骨が痩せると、歯並びや噛み合わせが変化することがあります。その場合、再治療が必要になることがあります。
・矯正治療は、一度始めると元の状態に戻すことが難しくなります。
・矯正治療により上下の前歯を前方や後方へ傾斜することにより、上下口唇の突出感が生じたり、増幅したりする一方、陥凹感が生じたり、増幅するなど変化することがありますが、矯正歯科医師による側貌のコントロールはできません。
・治療期間は歯並びと咬み合わせに異なりますが、前歯だけ永久歯に生え揃う小学校低学年(1〜4年生頃)の混合歯列で第一期矯正治療(限局矯正)を行う必要がある場合、動的治療期間は約半年~1年半程度ですが、その後、全ての歯が永久歯に生え揃う永久歯列で第二期矯正治療として広範囲矯正治療(本格矯正)が必要になった場合、成人矯正同様、動的治療期間は約1年半〜2年半程度ですが、2年半以上要することもあり、通院期間は総じて10年以上に及ぶことになります。
1.公的健康保険適用外の自費(自由)診療になります。
2.矯正治療の通院期間は歯並びを整える動的治療期間とその後、整えた歯並びが後戻りしない様に保定装置(リテーナー)を装着して頂きながら経過観察を行う保定期間の合計となります。
3.矯正治療の治療期間や通院回数は矯正治療の開始時期、不正咬合の程度、非抜歯・抜歯、使用装置などにより変わりますが、おおよその目安は以下の通りです。
▼混合歯列での第一期矯正治療(限局矯正)、永久歯列での部分矯正(MTM)を行った場合
・動的治療期間:約6か月~1年6か月、通院回数(毎月1回):約 6~18回
・保定期間:約1年、通院回数(数か月に1回):約4回(※1)
・合計通院回数:約1年6か月~2年6か月、合計通院回数:約10~22回
▼永久歯列での第二期矯正治療(本格矯正)を唇側(表側)ブラケット矯正装置(ラビアルブラケット矯正装置)にて行った場合(※2)
・歯を抜かない非抜歯治療での動的治療期間:約1年6か月~2年、通院回数(毎月1回):約18~24回
・歯を抜いた抜歯治療での動的治療期間:約2年~2年6か月、通院回数(毎月1回):約 24~30回
・保定期間(※3):3年、通院回数(数か月に1回):約12回
・合計通院回数:約4年6か月~5年6か月、合計通院回数:約30~42回
※1 混合歯列で第一期矯正治療(限局矯正)を行った場合、約1年間の保定期間終了後も永久歯列完成まで経過観察を継続しますので、通院回数は4回以上になります。
※2 舌側(裏側)ブラケット矯正装置(ハーフリンガルブラケット矯正装置、フルリンガルブラケット矯正装置)の場合、唇側(表側)ブラケット矯正装置(ラビアルブラケット矯正装置)よりも動的治療期間が長くなる場合があります。
※3 当院が規定する保定期間と通院回数で記載しております。
・機能性や審美性を重視するため、公的健康保険対象外の自費診療となり、保険診療よりも高額になります。
・正しい装着方法で1日20時間以上使用しないと、目標とする治療結果を得られないことがあるため、きちんとした自己管理が必要になります。
・ご自身で取り外せるため、紛失することがあります。
・症状によっては、マウスピース型カスタムメイド矯正歯科装置(インビザライン)で治療できないことがあります。
・お口の中の状態によっては、治療計画どおりの結果が得られないことがあります。
・装着したまま糖分の入った飲料をとると、虫歯を発症しやすくなります。
・治療によって、まれに歯根吸収や歯肉退縮が起こることがあります。
・食いしばりの癖が強い方の場合、奥歯が噛まなくなることがあります。
・治療途中で、ワイヤーを使う治療への変更が必要になることがあります。
・お口の状態によっては、マウスピース型カスタムメイド矯正歯科装置(インビザライン)に加え、補助矯正装置が必要になることがあります。
・治療完了後は後戻りを防ぐため、保定装置の装着が必要になります。
・薬機法(医薬品医療機器等法)においてまだ承認されていない医療機器です。日本では完成物薬機法対象外の装置であり、医薬品副作用被害救済措置の対象外となることがあります。
・傾斜や捩れの改善が難しいなど唇側(表側)ブラケット矯正装置(ラビアルブラケット矯正装置)に比べて、高度な技術が要求されるなどの理由で治療費が高額になります。
・唇側(表側)ブラケット矯正装置(ラビアルブラケット矯正装置)に比べて、硬くて太いワイヤーへの交換に時間がかかることから治療期間が長くなることがあります。
・歯はブラケットが接着している方向へ移動しやすいという特性から、歯の唇側(表側)への移動はしにくいという特性があります。
・直接、舌が触れる歯の舌側(裏側)にブラケット矯正装置がついているため、唇側(表側)ブラケット矯正装置(ラビアルブラケット矯正装置)に比べて、発音や咀嚼、嚥下などの舌の働きへの影響は特に大きいと考えますが、一般的に数日から1、2週間で軽減します。
・傾斜や捩れがある上の前歯にエラスティックチェーンを装着する目的で、また上下の前歯の咬み合わせを緊密にしたり、上下の咬み合わせの前後的なズレを修正するためのエラスティック リング(顎間ゴム)が装着できるように、付加装置として透明なアタッチメントを歯の唇側(表側)に接着することがあります。
・公的健康保険対象となる使用方法と、公的健康保険対象外の自費診療となる使用方法があり、自費診療となる場合は保険診療よりも高額になります。
・骨と化学的な結合をしないため、患者さまの骨の状態や口腔衛生状態によっては脱落することがあります。
・脱落した場合は再埋入を行なうことがあります。脱落部分の骨の穴が回復するまで数ヵ月の時間を要するため、別の部分に埋め込むことがあります。
・歯科矯正用アンカースクリューは骨に埋まっていますが、その頭部は歯肉の外にあるため、ケアを怠ると骨に感染することがあります。
・歯科矯正用アンカースクリューは歯根の間に埋入されることが多いため、埋入時に歯根を傷つけることがあります。
・薬機法(医薬品医療機器等法)において承認された医療機器であり、マウスピース型カスタムメイド矯正歯科装置(インビザライン)を用いた治療を行なう工程で使用します。
・機能的・審美的に仕上げるために使用するので、自費(保険適用外)での診療となり、保険診療よりも高額になります。
・基本的に、食事と歯磨きのとき以外は、ゴムをかける必要があります。正しい方法で1日20時間以上ゴムをかけないと、目標とする治療結果を得られないことがあるため、きちんとした自己管理が必要になります。
・歯列矯正用弧線(イントラオーラルアプライアンス)をつける歯が被せ物など人工歯の場合は、使用できません。
・薬機法(医薬品医療機器等法)において承認された医療機器です。弧状で歯の移動または維持のために歯に力を加えるために使用します。
・機能的・審美的に仕上げるために使用するので、自費(保険適用外)での診療となり、保険診療よりも高額になります。
・アレルギー発症のおそれがあるため、ステンレスに対して過敏症やアレルギーのある方は使用できません。
・公的健康保険対象となるのは、自立支援医療(育成医療・更生医療)指定医療機関または顎口腔機能診断施設の指定を受けた医療機関のみとなります。指定を受けていない医療機関で外科矯正は、公的健康保険対象外の自費診療となり、保険診療よりも高額になります。
・手術は全身麻酔のもとで行ないます。
・2~3週間程度の入院が必要となり、入院前には検査のために通院していただきます。
・手術後は部分的な麻痺やしびれが出たり、まれに鼻の変形が見られることがあります。
・骨を固定するために頬側からビスを入れてプレートを留める場合、数ミリの切開が必要となることがあります。ただし、ほとんどわからない程度の小さな傷です。
・手術後しばらくは口があまり開かないので、食生活に不都合を感じることがあります。
・手術後半年から1年くらいで、プレート除去手術のため再度1週間程度の入院が必要となることがあります。
当院でご提供している「カスタムメイド型リンガルブラケット矯正装置(インコグニート)」は、薬機法(医薬品医療機器等法)においてまだ承認されていない医療機器となりますが、当院ではその有効性を認め、導入しています。
○未承認医薬品に該当
薬機法上の承認を得ていません(独立行政法人 医薬品医療機器総合機構ウェブサイトにて2023年4月21日最終確認)。
○入手経路等
スリーエムジャパン株式会社より入手しています。
○国内の承認医療機器等の有無
国内では、カスタムメイド型リンガルブラケット矯正装置(インコグニート)と同様の性能を有した承認医療機器は存在しない可能性があります(独立行政法人 医薬品医療機器総合機構ウェブサイトにて2023年4月21日最終確認)。
○諸外国における安全性等にかかわる情報
情報が不足しているため、ここではカスタムメイド型リンガルブラケット矯正装置(インコグニート)の諸外国における安全性等にかかわる情報は明示できません。今後重大なリスク・副作用が報告される可能性があります。
○医薬品副作用被害救済制度対象外
日本では完成物薬機法対象外の矯正装置であり、医薬品副作用被害救済制度の対象外となる場合があります。
※当該未承認医薬品・医療機器を用いた治療の広告に対する注意事項の情報の正確性について、本ウェブサイトの関係者は一切責任を負いません。
・機能性や審美性を重視するため、公的健康保険対象外の自費診療となり、保険診療よりも高額になります。
・正しい装着方法で1日20時間以上使用しないと、目標とする治療結果を得られないことがあるため、きちんとした自己管理が必要になります。
・ご自身で取り外せるため、紛失することがあります。
・症状によっては、マウスピース型カスタムメイド矯正歯科装置(インビザライン)で治療できないことがあります。
・お口の中の状態によっては、治療計画どおりの結果が得られないことがあります。
・装着したまま糖分の入った飲料をとると、虫歯を発症しやすくなります。
・治療によって、まれに歯根吸収や歯肉退縮が起こることがあります。
・食いしばりの癖が強い方の場合、奥歯が噛まなくなることがあります。
・治療途中で、ワイヤーを使う治療への変更が必要になることがあります。
・お口の状態によっては、マウスピース型カスタムメイド矯正歯科装置(インビザライン)に加え、補助矯正装置が必要になることがあります。
・治療完了後は後戻りを防ぐため、保定装置の装着が必要になります。
・薬機法(医薬品医療機器等法)においてまだ承認されていない医療機器です。日本では完成物薬機法対象外の装置であり、医薬品副作用被害救済措置の対象外となることがあります。
当院でご提供している「マウスピース型カスタムメイド矯正歯科装置(インビザライン)」は、薬機法(医薬品医療機器等法)においてまだ承認されていない医療機器となりますが、当院ではその有効性を認め、導入しています。
○未承認医療機器に該当
薬機法上の承認を得ていません(独立行政法人 医薬品医療機器総合機構ウェブサイトにて2023年4月21日最終確認)。
○入手経路等
インビザライン・ジャパン株式会社より入手しています。
○国内の承認医療機器等の有無
国内では、マウスピース型カスタムメイド矯正歯科装置(インビザライン)と同様の性能を有した承認医療機器は存在しない可能性があります(独立行政法人 医薬品医療機器総合機構ウェブサイトにて2023年4月21日最終確認)。
○諸外国における安全性等にかかわる情報
情報が不足しているため、ここではマウスピース型カスタムメイド矯正歯科装置(インビザライン)の諸外国における安全性等にかかわる情報は明示できません。今後重大なリスク・副作用が報告される可能性があります。
○医薬品副作用被害救済制度対象外
日本では完成物薬機法対象外の矯正装置であり、医薬品副作用被害救済制度の対象外となる場合があります。
※当該未承認医薬品・医療機器を用いた治療の広告に対する注意事項の情報の正確性について、本ウェブサイトの関係者は一切責任を負いません。
・審美性を重視するため公的健康保険対象外の自費診療となり、保険診療よりも高額になります。
・ホワイトニングには、オフィスホワイトニングとホームホワイトニングがあります。
・色の白さの度合いには、個人差があります。
・ホワイトニング後、一定期間、色素の沈着が顕著になるとの報告がされています。
・ホワイトニング後、24時間は、着色物質(カレー・コーヒー・ワイン・タバコなど)の摂取を控えてください。ホームホワイトニング施術期間中も同様です。
・ホワイトニング処置中や処置後に、痛みや知覚過敏の症状が生じることがあります。
・ホワイトニングの薬剤に対してアレルギーのある方は、薬剤で口腔粘膜に異常が起こることがあります。その際は、すぐに使用を中止してください。
・ホームホワイトニングはご自分で行なうため、どのような仕上がりになるか予想がつきにくく、歯の白さの調整が難しくなります。
・ホームホワイトニングでの器具の使用方法や薬剤量などが正しく守れているかご自分での判断が難しい場合は、歯科医師または歯科衛生士に相談ください。
・詰め物や被せ物が多い方は、ご自分の歯との色の差が目立つようになることがあります。その部分の色をご自分の歯に近づけることは可能ですが、時間と費用が必要です。
・入れ歯や差し歯など、人工歯は白くできません。
・被せ物を装着している歯には適用できません。
・歯にひびが入っていると、薬剤の影響により歯髄にダメージを与えることがあります。
・抗生物質の影響により歯の変色が著しい方は、ホワイトニングの効果が出にくい場合があります。
・「無カタラーゼ症」の方は、薬剤に含まれる過酸化水素を分解する酵素がないため、ホワイトニングはできません。
・薬剤の影響があるため、妊娠中や授乳中の方は控えてください。







